Pathology Center

The pathological analysis of abnormal findings in laboratory animals is indispensable in determining the cause of diseases. Especially in the definite diagnosis of infectious diseases, detection of the pathogen in the tissue is important as well as microbial testing. In addition to infections, pathological diagnosis of spontaneous tumors, inflammation, and xenogenetic cells (e.g., human cells) is also performed. H&E staining, special staining and immunohistochemistry using automatic stainer (Bond-Max) are available.

【Activities】

Preparation of pathological specimens

  1. Formalin-fixed paraffin blocks
  2. Frozen tissue samples
  3. Cell blocks from cultured cells
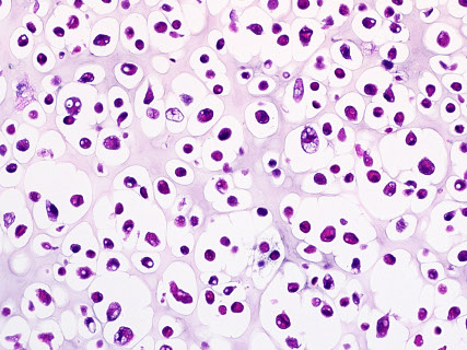
H&E staining of cell blocks from cultured human cells
Proliferative potential of cultured human cells (Ki-67 staining)

Staining

  1. H&E staining
  2. Special staining
  3. Immunohistochemistry
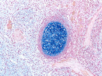
Azan staining (mouse liver)
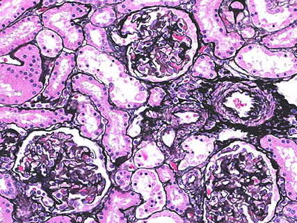
PAM staining (marmoset kidney)
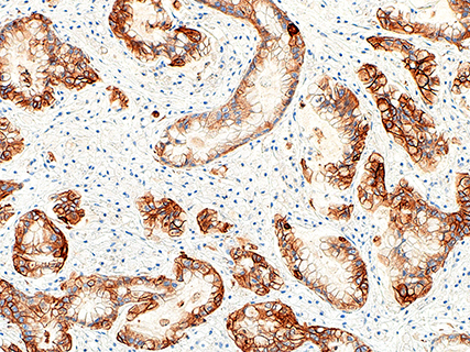
Anti-HLA staining (immunostaining) (xenograft)

Pathological diagnosis

  1. Histological evaluations in laboratory animals
  2. Human cell analysis in human cell-transplanted mice
  3. Microphotography for conference presentations, paper publications, etc.
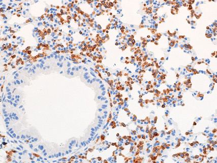
Anti-human CD3 staining (immunostaining) (humanized-NOG mice)
Alcian blue staining (marmoset iPS cells)
Anti-TH staining (immunostaining) (marmoset brain)
Contact

PAGE TOP

Copyright © Central Institute for Experimental Medicine and Life Science