Human Disease Model Laboratory is developing novel humanized model animals and investigating the pathological mechanisms of immunological and hematological diseases by using these models. Our aim is to apply the humanized model animals for drug discovery research in preclinically and to develop the therapeutics. We also actively collaborate with the researchers in academic institutes, pharmaceutical companies, and etc. to facilitate their basic and translational researches.
Human Disease Model Laboratory
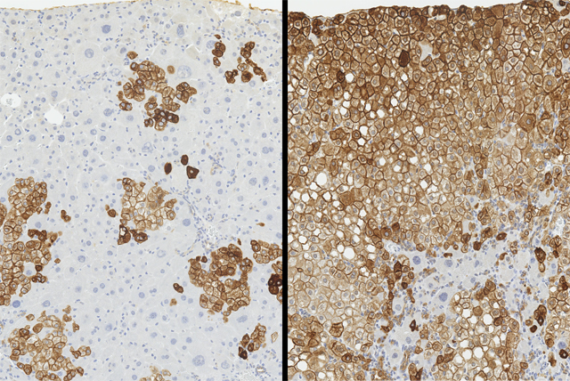
Liver Engineering Laboratory focuses on the development of liver-humanized mice as an animal experiment model that can be used for research on infectious diseases such as hepatitis virus and malaria and development of new drugs. More than 80% of the liver of a liver-humanized mouse is consisted of human hepatocytes, and it has been revealed that not only expression patterns of drug metabolism related genes and plasma proteins, but also properties of drug metabolism are similar to those in humans.
Liver Engineering Laboratory
Mice and humans are physiologically and anatomically very different, and cognitive functions such as perception, memory, learning, thinking, and decision are especially different between human and mice. Therefore, non-human primate models that have many physiological features to similar to those in humans are important. We aim to develop a reliable delivery system and safe new drugs and novel therapeutics for patients through developmental engineering and reproductive physiology of the common marmoset, a small primate species.
Laboratory of Applied Developmental Biology
The Laboratory of Ethological Dynamics aims to elucidate changes in behavior associated with brain development and the progression of brain diseases such as Alzheimer's, using wild-type and disease model marmosets. For this purpose, we are developing devices that can analyze animal behavior, physiological functions, and brain functions lifelong periods with minimal invasiveness, and conducting analytical research using these devices.
Laboratory of Ethological Dynamics
Animal models of human diseases play a significant role in elucidation of disease mechanisms and the assessment of new drugs and novel therapeutics. The common marmoset, a nonhuman primate species, bridges a gap between humans and rodent laboratory animals. We advance research for the development of disease models and veterinary care for applying common marmosets as human disease models.
Laboratory of Disease Model Animal
The healthy management of laboratory animals is crucial for obtaining accurate results in animal experiments. Common marmosets, being non-human primates, require careful consideration of animal welfare and sophisticated husbandry techniques due to their long lifespan of 10 to 20 years. The Laboratory of Animal Husbandry and Management focuses on developing breeding and experimental techniques that minimize animal stress in accordance with the 3Rs of animal experimentation and the 5 freedoms for animals based on welfare principles.
Laboratory of Animal Husbandry and Management
Recent advances in gene-editing technology have enabled the genetic modification of common marmosets. Following our successful production of gene knockout marmosets using gene-editing technologies, we are now focusing on developing innovative techniques for gene modification in marmoset. We also welcome collaboration with you on research involving marmosets, and their genetic modification.
Laboratory of Applied Genomic Science
In recent years, it has become clear that the interaction between the intestinal flora and the brain is involved in various diseases, including mental and neurological disorders. On the other hand, conventional mouse-based research has been challenging because the bacteria that commonly colonize the intestinal tract differ from those found in humans. Therefore, we have produced the world’s first germ-free marmoset and are researching intestinal flora in an environment that more closely resembles humans.
Laboratory of Microbial Control
Immunology Laboratory creates "humanized mice" which harbor human cells and tissues through the development of immunodeficient mice. Severe immunodeficient “NOG” mice developed by CIEM are suitable for reconstituting the human hematopoietic and immune systems. Those “humanized mice” provide unique opportunities to examine various functions or characteristics of human cells in vivo. Immunology laboratory has been developing “more advanced humanized mice” through genetic modifications, which are superior to the parental NOG mice in terms of human hematopoiesis and immune functions. These mice are useful for drug discovery and safety studies.
Immunology Laboratory
In in vivo experimental medicine, the ultimate goals of life science are the elucidation of biological functions of humans and triumph over disease. For these goals, we have been developing fundamental technologies over many years. Imaging Analysis Laboratory performs in vivo imaging using magnetic resonance imaging (MRI), micro X-ray CT, and in vivo fluorescence imaging.
Imaging Analysis Laboratory
The Metabolic Systems Laboratory studies the crosstalk between metabolism and epigenetics and how alterations in the cellular system are crucial to enable mammalian development and germ cell differentiation, including eggs and sperm, or contribute to etiologies such as cancer, developmental defects, or infertility.Our laboratory is also interested in application of “imaging metabolomics (IM)” to understanding pathogenesis of human cancer and neurodegenerative diseases. IM includes imaging mass spectrometry, surface-enhanced Raman spectrometry (SERS), and ultra- high field functional magnetic resonance imaging (fMRI). In November 2023, CIEM introduced 11.7T fMRI.
Metabolic Systems LaboratoryiMScope (Imaging mass spectroscopy)

Reproductive Engineering Laboratory is investigating methods for collection, cryopreservation, and individual restoration of germ cells such as oocytes, sperms, and embryos, the origin of biological phenomena. These researches are applied in genome editing and the creation of genetically modified animals.
Reproductive Engineering Laboratory
PAGE TOP